Total Elbow Arthroplasty
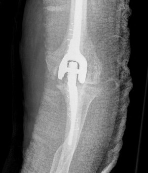
A surgical procedure performed to replace worn joint surfaces in the elbow, usually due to severe arthritis. An incision is made to access the joint and the worn surfaces are removed. Artificial components with stems are then cemented into the canals of the ulna and humerus. The components fit together and create a metal and plastic hinge at the joint. When all of the components are in place the elbow is checked to ensure appropriate range of motion, alignment, and stability.
Contents
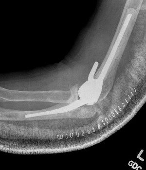
Example X-ray Images
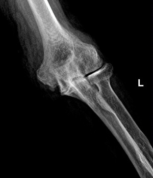
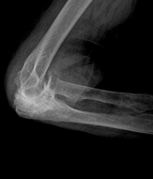
End-Stage Osteoarthritis of the Elbow


Total Elbow Replacement


Common Questions About Total Elbow Arthroplasty
What is a total elbow arthroplasty (total elbow replacement)?
A total elbow arthroplasty is when the worn out elbow joint is replaced with metal and plastic.
How long does a total elbow arthroplasty last?
A total elbow arthroplasty can last for at least 10 years.
When do you need a total elbow arthroplasty?
Severe enough rheumatoid arthritis or osteoarthritis can damage the cartilage in the elbow joint enough that a total elbow replacement may be required. Trauma to the elbow could also lead to arthritis or result in fractures that can’t be repaired and require a total elbow replacement.
What is the protocol for a total elbow arthroplasty?
An incision is made at the back of the elbow and the worn surfaces are removed. Replacement stems are placed into both the ulna and the humerus and secured with cement.
What are the implants made of in a total elbow arthroplasty?
The metal implants are either titanium or a chrome-cobalt alloy. The plastic which lines the joint is usually made of polyethylene.