Cartiform
Cartiform is a preserved cartilage graft composed of viable cartilage cells, cartilage growth factors, and proteins that promote cartilage healing. The graft is a porous with an intact bony scaffold which allows flexibility of the graft. The pores increase surface area and allow for preservation of cartilage cell viability throughout the graft. Growth factors are released and allow for cartilage cell migration into the graft following implantation into the cartilage lesion.
Contents
Before and After Image
Placement of Cartiform


Common Questions About Cartiform
What is Cartiform?
Cartiform is a preserved osteochondral allograft made up of viable cartilage cells and cartilage growth factors. It is designed to integrate with the surrounding tissue and help treat chondral defects.
Why is Cartiform porous?
The porous nature of cartiform serve a three-fold purpose. One, to improve the flexibility of the allograft. Two, to increase the total surface area allowing for better preservation. And three, to improve the release of cartilage growth factors and proteins once the graft is in place.
How does Cartiform work?
Cartiform works by filling in a chondral lesion with viable cartilage cells and then releasing growth factors to enhance the healing process. Studies have shown that Cartiform works better than microfractures alone in treating chondral lesions.
Can a microfracture procedure be used in conjunction with Cartiform?
Yes, a microfracture procedure can be done prior to grafting the Cartiform to potentially aid the recovery process.
Related Images
Cartiform

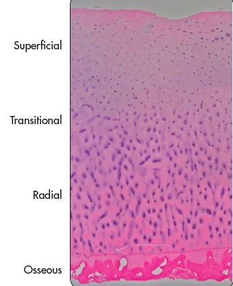
Layers of Cartilage

Four months after cartiform to femoral condyle

Four months after cartiform to patella

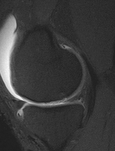
MRI 6 months after cartiform

MRI 12 months after cartiform











