Total Shoulder Replacement
A surgical procedure performed to replace joint surfaces of the ball and socket of the shoulder, usually due to severe arthritis. An incision is made on the front of the shoulder and the shoulder joint is exposed. The damaged areas of the ball and socket are removed. A metal stem is placed in the humerus bone and secured. An appropriately sized ball component is then attached to the stem. The socket is fitted with a plastic-like polyethylene cup. Once the components are secured the shoulder is checked to ensure appropriate range of motion and stability of the implants.
Contents
Common Questions About Shoulder Replacement
When is shoulder replacement necessary?
A shoulder replacement is necessary when osteoarthritis of the ball and socket has advanced to bone on bone. Typically the patient has symptoms at rest and with activity. When a patient has failed nonsurgical treatment such as physical therapy, cortisone injections, and anti-inflammatory medications, a replacement can be offered. It is meant to relieve pain and improve a patient’s quality of life.
What does shoulder replacement involve?
It involves replacing the ball and socket with a metal ball and the socket with a plastic socket.
Where is the incision for a shoulder replacement?
The 4 to 6 inch incision is along the front of the shoulder through the deltopectoral interval. This interval is between the deltoid and pectoral muscle and therefore these muscles are not injured during the surgery.
How long does shoulder replacement last?
A well placed shoulder replacement can last 20 years or more.
How long does it take for a shoulder replacement to heal?
Typically it takes 6 to 8 weeks to fully heal from a shoulder replacement because the front rotator cuff needs to heal before a patient is allowed full motion.
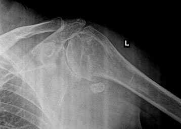
Example X-Ray Images
Bone of Bone Osteoarthritis of the Shoulder

Total Shoulder Replacement With Metal Ball and Plastic Socket

Stemless Total Shoulder Replacement











