Total Knee Replacement
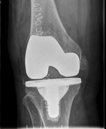
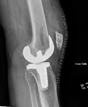
A surgical procedure performed to replace worn joint surfaces in the knee, usually due to severe arthritis. An incision is made on the front of the knee and the worn joint surfaces are removed. Metal components are then cemented on the tibia and femur. A spacer made of a specialized plastic is placed in between the tibia and femur. The surface of the knee cap is also removed and replaced with a plastic button. When all of the components are in place the knee is checked to ensure appropriate range of motion, alignment, and stability.

Contents
Common Questions About Total Knee Replacement
What is a total knee replacement?
A total knee replacement is a replacement of the three compartments of the knee (patellofemoral, medial, and lateral) with metal and a plastic spacer in between. There are three components to the replacement – a metal end of the femur and tibia, and a polyethylene spacer.
When is a knee replacement needed?
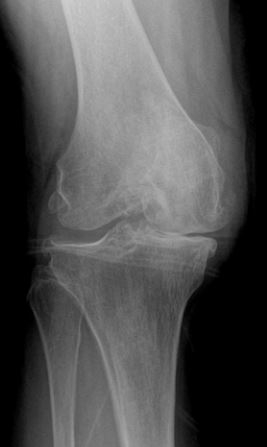
Osteoarthritis is the diseases process of cartilage wear over a lifetime. When the cartilage is worn down to bone the osteoarthritis is considered end-stage. At this stage there is significant decrease in quality of life and function, then a knee replacement is warranted.
Who qualifies for a knee replacement?
Patients who have severe osteoarthritis, restrictions in function, and decrease in quality of live are candidates for knee replacement. A patient must be healthy enough to tolerate the procedure.
How long does a knee replacement last?
Total knee replacements are known to last 15 to 20 year. A total knee replacement is a biomechanical construct that has a finite number of cycles until failure. Thus, the longevity of the implants depend on the activity level of the patient.
What are knee replacements made of?
Knee replacements are made of metal alloy such as cobalt chromium. The spacers in between the metal components are made of polyethylene.
How long does knee replacement take?
A total knee replacement typically takes 2 hours to perform.
What are some complications of knee replacement?
The most common complication is loss of motion, also known as arthrofibrosis. This can be prevented by moving your knee aggressively after surgery. The most serious but rare complication is infection and this may necessitate the need for antibiotics or additional surgeries to remove the implant and clean out the infection. Other complications such as blood clots may occur but these can be prevented by blood thinning medications.
What is knee replacement recovery like?
Recovery after knee replacement is lengthy. Patients can technically bear full weight after surgery. However, most patients do not feel like they have a normal knee until 6 to 12 months after surgery.
Example X-Ray Images
Knee Replacement


Bone on Bone Osteoarthritis of the Knee











