Total and Partial Hip Replacement via Anterior or Posterior Approach
A surgical procedure performed to replace joint surfaces of the ball and socket of the hip, usually due to severe arthritis. An incision is made either on the outside, front of the hip (anterior approach) or near the outside of the buttock (posterior approach). The hip joint is then exposed. The damaged areas of the ball and socket are removed. A metal stem is placed in the femur bone and secured. An appropriately sized ball component is then attached to the stem. The socket is fitted with a metal cup and plastic-like polyethylene insert. Once the components are secured the hip is checked to ensure appropriate range of motion and stability of the implants.
Contents
Common Questions About Total Hip Replacement (Anterior & Posterior)
When should I consider a total hip replacement?
Patients may qualify for a total hip replacement if they experience consistent pain, and limited mobility in their hip region after nonsurgical treatment such as physical therapy, cortisone injections, and medications.
What does the procedure entail?
A total hip replacement involves removing arthritic elements and replacing the body’s native ball and socket joint with artificial metal implants.
What is the rehabilitation process like?
Complete recovery can take up to 6 months and for the first few weeks, a cane or walker may be necessary. Physical therapy is important to return to normal activities. It is discouraged to return to high impact sports such as running or basketball as they reduce the life of the implant. Patients start attending physical therapy when instructed by their physician and continue for the duration of their recovery process.
What are the risks?
The risks of hip replacement surgery include blood clotting, nerve damage, loosening of the implant, and infection.
Partial Hip Replacement (Anterior & Posterior)
When should I consider a partial hip replacement?
Patients may qualify for a partial hip replacement if they have severe arthritis in only one part of their hip joint.
What does the procedure entail?
A partial hip replacement involves removing and replacing the body’s native ball joint with an artificial ceramic or metal ball which is set in the core of the femur.
What is the recovery process like?
Complete recovery can take up to 6 months and for the first few weeks, a cane or walker may be necessary. Physical therapy is important to return to normal activities. It is discouraged to return to high impact sports such as running or basketball as they reduce the life of the implant. Patients start attending physical therapy when instructed by their physician and continue for the duration of their recovery process.
What are the risks?
The risks of hip replacement surgery include blood clotting, nerve damage, loosening of the implant, and infection.
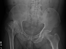
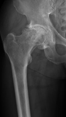
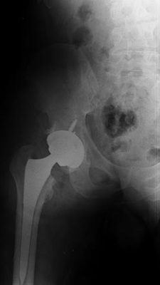
Example X-Ray Images
Chronic Collapse & Avascular Necrosis of Right Hip

Total Hip Replacement of Ball and Socket

Acute Collapse of Femoral Neck of Hip

Total Hip Replacement of Ball and Socket











