Superior Capsular Reconstruction for Irreparable Rotator Cuff Tear
An arthroscopic procedure that utilizes a specialized graft to restore shoulder joint anatomy and stability in the setting of an irreparable rotator cuff tear. Through three small incisions around the shoulder an arthroscopic camera and instruments are used to identify and examine the extent of rotator cuff injury. Soft tissue is cleared from the anticipated graft attachment sites on the humerus bone and just above the socket of the shoulder joint. Holes are drilled into the bone to accommodate suture anchors and measurements are obtained to appropriately size the graft. Anchors and screws attached to sutures are placed in the drilled holes and the sutures are passed through the graft. The graft is introduced into the shoulder on suture pulleys and secured in place.
Contents
Common Questions About Superior Capsular Reconstruction for Irreparable Rotator Cuff Tear
What is a Superior Capsular Reconstruction?
Superior Capsular Reconstruction is an arthroscopic procedure to reconstruction the rotator cuff in the setting of an irreparable tear. Previously, the treatment of choice for irreparable rotator cuff tear was a reverse shoulder replacement. In a Superior Capsular Reconstruction a dermal allograft is used to reconstruction the rotator cuff.
What is an irreparable rotator cuff tear?
An irreparable rotator cuff tear is one that cannot be repaired due to non-viability of the rotator cuff tendon or advanced osteoarthritis. Most typically a tear is not repairable because it is old, retracted and has become infiltrated with fat.
How is a Superior Capsular Reconstruction performed?
Superior Capsular Reconstruction is performed using the Arthroflex dermal allograft. The allograft is anchored with two to three anchors to the superior socket and with four anchors into the humeral head. Additional sutures are placed to secure the allograft to the remaining rotator cuff tissue.
What is the rehabilitation after a Superior Capsular Reconstruction?
Post-operatively the patient is placed in a sling for 6 weeks. During that time passive motion is allowed and physical therapy is performed. After sling removal, active range of motion and strength are regained.
Example X-Ray Images
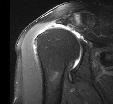
Irreparable Rotator Cuff Tear

Fatty Infiltration of Supraspinatus

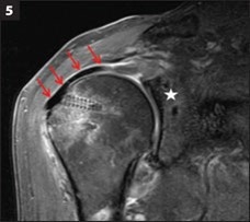
MRI 6 Months After SCR

Related Videos
Some videos are age-restricted. You may need to log in to Youtube in order to view these videos.










