Rotator Cuff Repair
An arthroscopic procedure performed to to repair torn rotator cuff tissue. Through 2 or 3 small incisions around the shoulder, sutures are introduced into healthy rotator cuff tissue that has torn away from its attachment. A bone bed is cleared of soft tissue at the appropriate attachment site. Small holes are punched in the bone and the rotator cuff is secured to its native attachment on the bone using absorbable screws.
Contents
Common Questions about Rotator Cuff Repair
What are rotator cuff tears?
A rotator cuff tear is a tear of one of the tendons that powers your shoulder. There are 4 tendons (supraspinatus, infraspinatus, subscapularis, teres minor). The supraspinatus it the most commonly torn tendon.
How is rotator cuff surgery performed?
Rotator cuff surgery is performed arthroscopically through a fiber-optic camera with 3 to 4 holes around the shoulder. Suture is placed into the torn tissue which is then anchored into the shoulder with bioabsorable anchors. It is considered minimally invasive surgery.
How is a rotator cuff tear diagnosed?
Clinical exam combined with advanced imaging such as MRI is the best way to diagnose a rotator cuff tear.
How are rotator cuff tears treated?
Nonsurgical treatment with physical therapy and anti-inflammatory medications is always attempted prior to surgical treatment. If symptoms improve and the patient returns to full function then surgery is avoided. Often, a steroid injection is needed to reduce symptomatic inflammation.
When is rotator cuff surgery necessary?
When a rotator cuff tear is complete (full-thickness) and the patient has persistent weakness and pain despite attempts at nonsurgical treatment then surgery is necessary. When a rotator cuff tear is partial but greater than 50% of thickness and the patient continues to have weakness and pain despite nonsurgical treatment, then surgery is reasonable.
When is a rotator cuff tear irreparable?
When the torn rotator cuff tissue is poor quality, retracted significantly, or infiltrated with fatty tissue greater than 50%, then the tear is irreparable. In this situation, an alternate procedure called Superior Capsular Reconstruction is recommended where a dermal allograft is used a substitute for the torn tendon.
How long does rotator cuff repair take?
Arthroscopic rotator cuff repair takes between 1 and 2 hours to perform.
Why do rotator cuff repairs fail?
Although rare, sometimes rotator cuff repairs fail. This is most commonly due to poor tissue quality or poor healing biology of the patient’s tissue. Sometimes it is due to premature physical therapy and aggressive active motion prior to healing of the tendon.
What is the rehabilitation after a rotator cuff repair?
Typically a sling is worn for 6 weeks with passive motion allowed. Physical therapy is begun after the first post-operative visit and continues for several months to regain full motion and strength. Full recovery can take from 4 to 6 months.
Before and After Images
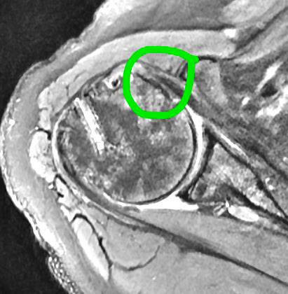
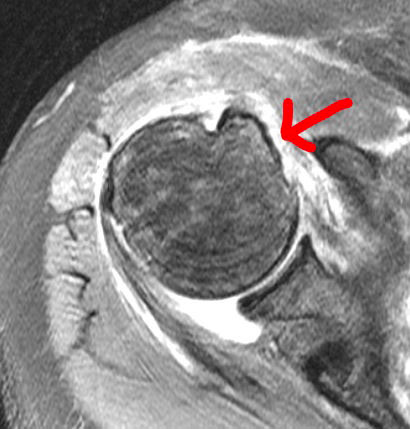
Supraspinatus Tendon Tear
Tear is on the left and the healed repair is on the right


Subscapularis Tendon Tear
Subscapularis tendon tear is on the left with the healed repair visible on the right.












