Patella Stabilization (Patellofemoral Ligament Reconstruction)
A surgical procedure performed to replace a torn or incompetent patellofemoral ligament in order to stabilize the kneecap and reduce maltracking or recurrent dislocations. An incision is made next to the kneecap to access the attachment site for the patellofemoral ligament. Once the bone is exposed 2 small holes are drilled into the side of the kneecap and free ends of graft tissue are introduced into the tunnels. The ends are secured in place with absorbable screws. A second small incision is made over the ligament attachment site on the side of the femur. Intraoperative X-ray is used to determine the precise location the graft should attach and a tunnel is drilled at that point. The graft is then passed under the skin from the first incision to the second incision. It is appropriately tightened and then secured in the femoral tunnel using an absorbable screw. A knee exam is performed to ensure proper tracking of the kneecap.
Contents
Featured in Arthroscopy Techniques
Double-Bundle Medial Patellofemoral Ligament Reconstruction With Allograft
Common Questions About Patella Stabilization
Why does the patella become unstable?
After a second patella dislocation, the patella is at significant risk for recurrent dislocation. This can be due to tearing of the ligament that secures the patella in place on the femur (medial patellofemoral ligament). Other factors such as knee alignment, knee rotation, shape of the patella, and depth of the trochlear groove are also important.
What is a patella stabilization?
A procedure to stabilize the patella by reconstructing the medial patellofemoral ligament with a cadaveric donor graft tissue that is anchored into the patella and femur.
Who is the ideal candidate for patella stabilization?
A patient with recurrent patella dislocation without the presence of severe arthritis, malalignment, or severely misshapen trochlear groove.
What is the rehabilitation like after patella stabilization?
The patient is on crutches and must wear a hinged knee brace for two months. During that period every two weeks the patient is allowed to bend the knee more until full flexion is obtained. Physical therapy is performed during the recovery which takes about 4 months.
Surgical Technique Video
This video is age-restricted. You may need to log in to Youtube in order to view the video.
Dr. Chen's Surgical Technique for Patellofemoral Stabilization
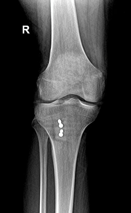
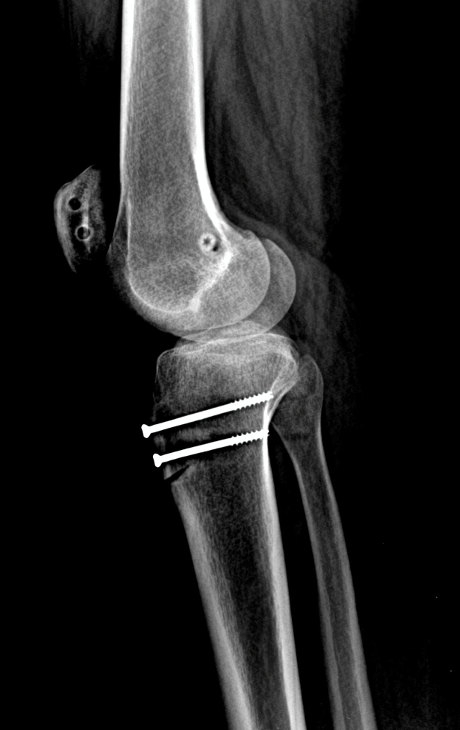
Example X-ray Images
MPFL Reconstruction with Tibial Tubercle Osteotomy












