Partial Knee Replacement
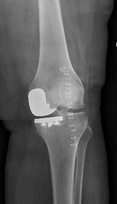
A surgical procedure performed to replace worn joint surfaces in the knee, usually due to severe arthritis. An incision is made on the front of the knee and the worn joint surfaces are removed. Metal components are then cemented on the tibia and femur. A spacer made of a specialized plastic is placed in between the tibia and femur. The surface of the knee cap is also removed and replaced with a plastic button. When all of the components are in place the knee is checked to ensure appropriate range of motion, alignment, and stability.
Contents
Common Questions About Partial Knee Replacement
When is a partial knee replacement necessary?
A partial knee replacement may be necessary when there is severe osteoarthritis in only one compartment of the knee.
How long do partial knee replacements last?
For the majority of people, a partial knee replacement will last 10 to 15 years but this depends on the activity level of the patient.
How long does the procedure for a partial knee replacement take?
A partial knee replacement usually takes 1-2 hours to perform.
What are the advantage and disadvantages of a partial knee replacement over a total knee replacement?
A partial knee replacement usually results in quicker recovery time as well as less pain following the procedure. However, there is a possibility for further surgery if osteoarthritis develops in the other two compartments of the knee.
How is a partial knee replacement performed?
A partial knee replacement is performed by making an incision on the knee and removing the worn joint surfaces. Metal implants are then cemented to the tibia and femur and a plastic spacer placed in between.
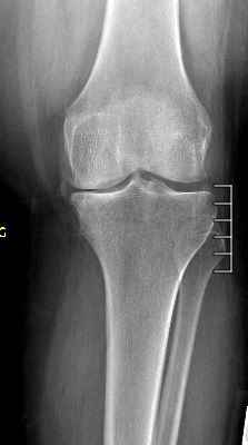
Example X-Ray Images
Medial Compartment Arthritis

Partial Knee Replacement











