Metacarpal Fracture Repair
A surgical procedure performed to repair broken metacarpal bones of the hand. An incision is made on the back of the hand and the broken bone or bones are exposed. Bone fragments are aligned appropriately and secured using screws alone or with a plate and screws depending on the fracture. Alignment of the bones and placement of any plates and screws are verified during surgery with x-ray.
Common Questions About Metacarpal Fracture Repair
What non-surgical options exist to treat a metacarpal fracture?
As long as the angulation of the fracture is acceptable, metacarpal fractures can be treated by immobilizing the metacarpal joints inside of a cast for six to 8 weeks.
How is a metacarpal fracture repair performed?
A metacarpal fracture repair is performed by creating an incision behind the broken metacarpal(s). The fragments are then aligned and held together using either screws alone or a combination of a plate and screws. X-rays are used to verify proper alignment and hardware placement.
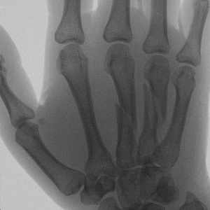
Example X-Ray Images
Oblique Metacarpal Fractures

Repair of Metacarpal Fractures with Screws











