Humerus Fracture Repair
A surgical procedure performed to realign and fixate a broken humerus bone. An incision is made to expose the broken bone. The bone fragments are then brought into alignment and fit with a metal plate and screws to keep them stable while they heal together.
Contents
Common Questions About Humerus Fracture Repair
When should a humerus fracture be treated surgically?
Proximal humerus fractures of the ball require surgery when it is broken into 2 or 3 parts and the parts are separated from their desired anatomic location. The rotator cuff attaches to these parts and therefore they must be in the right position in order to have good shoulder motion and strength. Humerus shaft fractures where the two bony ends cannot be in near approximation due to soft tissue interposition are typically treated surgically. Distal humerus fractures of the elbow require surgery if either the displacement is significant.
How long does it take for a humerus fracture to heal?
Fractures take 8 weeks to heal regardless of whether they are treated surgically or non surgically.
What is the rehabilitation after humerus fracture surgery?
Post-operatively the patient must wear a sling for 4 to 8 weeks and physical therapy is begun after 1 week for early range of motion.
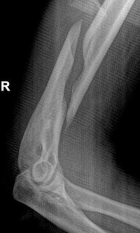
Example Images
Spiral Fracture of Humerus

Surgical Repair of Fracture With Plate and Screws

Comminuted complex humerus fracture

Anatomic surgical repair with plates, screws, and cable











