Hip Fracture Repair
A surgical procedure performed to repair a femur that is broken near the hip joint. An incision is made on the upper, outer thigh and the bone is identified. The broken bone is aligned and confirmed using X-ray. Screws can then be used to span the broken portion of the bone and secure the fragments in place. Some fractures also require the use of a plate or a short rod in the femur to ensure appropriate alignment and fixation. If these devices are used 1 or 2 additional small incisions may be used to secure the lower end with screws. Placement of all components and alignment of the bone is confirmed with X-ray.
Contents
Common Questions About Hip Fracture Surgery
What is a hip fracture?
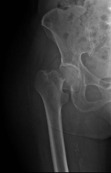
A hip fracture is a break in the upper region of the femur around the neck or ball of the femur.
What is the surgical procedure like?
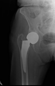
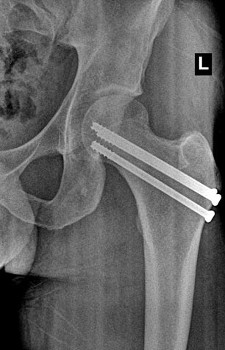
Depending of the severity of the fracture and its location, your surgeon may repair the fracture with a metal rod through the femoral neck or a metal plate and screws. In some cases where the fracture is severe a surgeon may opt to partially replace the ball joint of the femur.
What is the recovery process like?
Complete recovery can take up to 6 months and for the first few weeks, a cane or walker may be necessary. Physical therapy is important to return to normal activities. It may be possible to return to high impact sports depending on your recovery timeline and doctor’s suggestion. Patients start attending physical therapy when instructed by their physician and continue for the duration of their recovery process.
Example X-Ray Images
Femoral Neck Fracture

Partial Hip Replacement (Hemi-Arthroplasty)

Repair of Femoral Neck Fracture With Screws











