Elbow Fracture Repair
A surgical procedure performed to repair a broken olecranon process of the ulna bone. An incision is made along the back of the elbow. Soft tissues are carefully dissected to expose the broken bone. The bone fragments are aligned appropriately and secured in place with a plate and screws. Adequacy of fracture reduction and placement of the plate and screws are verified during surgery with X-ray.
Common Questions About Elbow Fracture Repair
Do all elbow fractures require surgery?
No, not all elbow fractures require surgery. Whether or not surgical intervention is necessary depends on the severity of the fracture, if it is displaced or non-displaced, and if it is open or closed.
How long does it take for an elbow fracture repair to heal?
Full recovery may take longer than a year. However, return to normal activity may be possible within four months.
How is an elbow fracture repair performed?
The surgical procedure begins with an incision along the back of the elbow. The broken bone fragments are then repositioned correctly and fixed with the help of a plate and screws. X-rays are used to verify proper alignment and hardware placement.
What restrictions are there after an elbow fracture repair?
Lifting heavy objects is not permitted for the first six weeks, and restrictions will be placed on activities that require pushing or pulling.
Is physical therapy required after an elbow fracture repair?
Physical therapy is extremely important in order to regain range of motion as well as strength in the injured arm. Physical therapy should begin as early permitted.
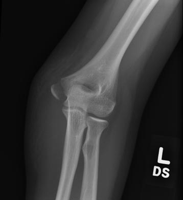
Example Images
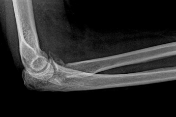
Before Surgery

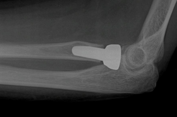
Post-Surgery

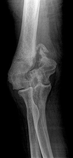
Non-Union of Distal Humerus Elbow Fracture

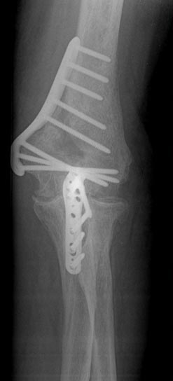
Repair of Non-Union With Plates and Screws

Displaced Condyle Fracture

Repair of Condyle Fracture With Screw











