Wrist Distal Radius Fracture Repair
A surgical procedure performed to repair a broken radius near the wrist that will not heal appropriately with casting alone. An incision is made in line with the radius bone of the forearm. Soft tissues are carefully dissected to expose the broken bone. The bone fragments are brought into alignment and fitted with a metal plate and screws to secure them in an appropriate position. Adequacy of fracture reduction and placement of the plate are verified during surgery with X-ray.
Contents
Common Questions About Distal Radius Fracture Repair
What is a distal radius fracture?
A distal radius fracture, also known as a broken wrist, is when the end of the radius bone breaks near the wrist joint.
When is a distal radius fracture repair necessary?
A distal radius fracture repair is necessary when the broken radius is fractured in a manner that prevents proper alignment with only a cast.
How is a distal radius fracture repair performed?
An incision is made in the forearm near the wrist. The broken bones are then exposed and aligned. Metal plates and screws are used to hold the bones in place. X-rays are then used to verify proper alignment and hardware placement.
What is the rehabilitation protocol after a distal radius fracture repair?
The operative hand should be placed in an elevated foam arm cradle for 3-5 days after the procedure. A cast is used for up to 6 weeks in order to immobilize the wrist and should be changed every three weeks. Formal physical therapy should also begin and focus on active and passive range of motion. Light activity may usually be resumed 1-2 months after the cast is removed, and physical therapy can begin focusing on strengthening. More vigorous exercises may usually be resumed 3-6 months following the procedure.
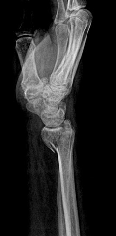
Example X-Ray Images
Fracture of Distal Radius

Unstable Volar Shear Fracture of Distal Radius

Repair of Distal Radius Fracture With Plate and Screws

Repair of Distal Radius Fracture Lateral View











