Clavicle Fracture Repair
A surgical procedure performed to realign and fixate a broken clavicle (collar bone). An incision is made to expose the broken bone. The bone fragments are then brought into alignment and fit with a metal plate and screws to keep them stable while they heal together.
Contents
Common Questions About Clavicle Fracture Repair
When should a clavicle fracture be treated surgically?
When the fracture is overlapped 2 cm or more or 100 percent displaced surgical treatment is acceptable. Other indications include tenting of the skin, an open fracture, a vascular injury, a special "Z" fracture pattern, a "floating shoulder" when there is also fracture to the scapula, or when the patient needs early shoulder strength to mobilize such as having a fracture to the lower extremity on the same side of the body.
How long does it take for a clavicle fracture to heal?
Fractures take 8 weeks to heal whether or not they are treated with surgery.
Is there a special way to splint a clavicle fracture?
There is no data showing that any special splinting technique will make a clavicle fracture heal better.
What are some complications from clavicle fracture surgery?
The most common complication is prominence of the plate after the surgery. A low profile plate is used to minimize this. About 10 to 15 percent of patients have a second surgery to remove the plate. Other complications include non-healing of the fracture, a numb patch around the incision site, an infection.
What is the rehabilitation after a clavicle fracture surgery?
A sling is worn for 4 weeks followed by physical therapy for 2 to 3 months.
Before and After X-Ray Images
Distal Clavicle Fracture Repair with Buttons
Fracture on the left with the repair on the right.


Distal Clavicle Fracture Repair with Bone Tunnels and Suture
Fracture on the left with the repair on the right.


Distal Clavicle Repair with Tensioned Cerclage Repair with Bone Tunnels
Fracture on the left with the repair on the right.


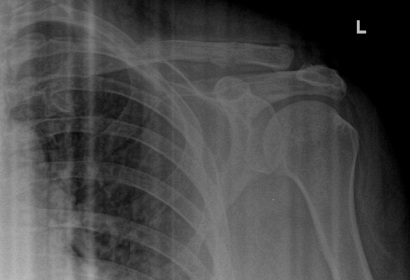
Example X-Ray Images
Displaced Clavicle Fracture with Butterfly Fragment

Clavicle Fracture Repair with Plate and Screws











