Ankle Fracture Repair
A surgical procedure performed to repair fractures of one or both ankle bones. An incision is made to expose the broken bone. An additional incision is made if both bones need to be repaired. The bone fragments are then brought into alignment and fit with a metal plate and screws to keep them stable while they heal together. Some fractures can be repaired with screws alone.
Contents
Before and After Image
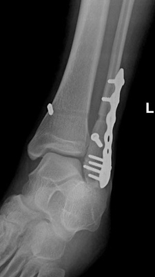
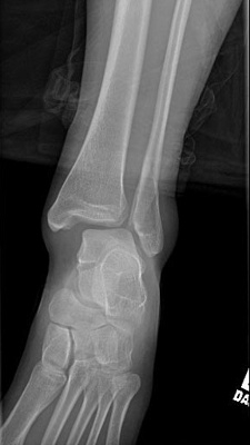
Repair of Fracture of Fibula With Wide Syndesmosis, with Plate, Screws, and Tightrope Button


Common Questions About Ankle Fracture Repair
What is the difference between an ankle sprain and an ankle fracture?
In an ankle sprain, the ligaments are torn. In a fracture the bone is broken.
What are symptoms of an ankle fracture?
The symptoms of an ankle fracture are severe pain, swelling, deformity, and pain upon weight bearing.
How do I know if I need surgery to repair my fracture?
After receiving imaging of your ankle, if the ankle fracture is displaced, or the ankle feels unstable, surgery may be required to fix the fracture.
What is the surgical process like?
Depending on the fracture location, the surgical process may differ slightly in equipment and procedure, but in general, a cut is made above the fracture site and the bones are pieced back together. Then a metal plate and screws and placed in to ensure healing in the correct manner.
What is the rehabilitation process like?
After the surgery, the ankle will be placed in a cast or boot for several weeks. The doctor will follow up with multiple X-Rays to ensure good recovery progress. Patients attend physical therapy for the duration of their recovery process. Full healing of the fracture takes 8 weeks. Patients start attending physical therapy when instructed by their physician and continue for the duration of their recovery process.










